Thứ năm 12/03/2026 08:13
Email: danchuphapluat@moj.gov.vn
Hotline: 024.627.397.37 - 024.62.739.735

Bệnh viện Nhân dân 115

Ca bệnh có thể chỉ gặp một lần trong đời

Khoa Cấp cứu Bệnh viện Nhân dân 115 tiếp nhận một cô gái trẻ trong tình trạng hôn mê, huyết áp tụt sâu, sau đó nhanh chóng diễn tiến ngưng tuần hoàn hô hấp. Ngay lập tức, quy trình cấp cứu được khởi động: Ép tim, đặt nội khí quản, thở máy, thuốc vận mạch, người bệnh diễn tiến rung thất phải sốc điện nhiều lần. Sau 20 phút hồi sinh tim phổi nâng cao, tim người bệnh đập lại, nhưng yếu ớt, huyết áp không đo được, cơ hội cứu sống người bệnh thật mong manh.

Khai thác nhanh bệnh sử người bệnh từ người bạn đi cùng ghi nhận thêm vài thông tin ít ỏi. Người bệnh 25 tuổi, là nhân viên văn phòng, sống một mình tại phòng trọ, thường hút thuốc lá điện tử, không có dấu hiệu nghi ngờ tự tử và ngoài ra không có thông tin gì thêm. Trước đó 2 ngày người bệnh xuất hiện triệu chứng mệt, lú lẫn đã được khám tại Bệnh viện tuyến trước, các chỉ số xét nghiệm đều trong giới hạn bình thường. Người bệnh được yêu cầu nhập viện vì tình trạng lú lẫn nhưng không đồng ý. Về nhà người bệnh diễn tiến mệt nhiều hơn và ngất nên được đưa đến Bệnh viện Nhân dân 115.

Cuộc chiến dành lại sự sống không có chỗ cho do dự

Trước nguy cơ tử vong rất cao, một quyết định nhanh chóng được ra Huy động toàn lực thực hiện ECMO ngay”

Đội ECMO đã sẵn sàng bao gồm 04 bác sĩ (Ths.BS. Nguyễn Hữu Tín, BSCK1. Vũ Phan Anh Tuấn, BSCK1. Phạm Mai Hưng và BS. Võ Hoài Quyên). Trong lúc chuẩn bị thực hiện, tim người bệnh lại ngừng đập, một mệnh lệnh được đưa ra “Vừa ép tim, vừa làm ECMO”.Một êkíp đang ở nhà cũng được huy động cũng nhanh chóng có mặt va kỹ thuật ECMO đã thực hiện thành công với thời gian ngắn nhất có thể.

Trong suốt quá trình thực hiện ECMO nhiều lần tim người bệnh tiếp tục ngừng đập, đồng tử dãn 4-5 mm, không một chút phản xạ. Hệ thống ECMO vẫn đang vận hành tốt, các thuốc vận mạch đã sử dụng đến liều tối đa nhưng đường biểu diễn huyết áp động mạch vẫn chỉ là một đường thẳng điều này cho thấy tim người bệnh gần như không còn co bóp nữa và sự sống của người bệnh hoàn toàn phụ thuộc vào dòng ECMO. Với y học, cuộc sống người bệnh dừng lại là điều dễ hiểu nhưng với các y bác sĩ hồi sức luôn đứng giữa lằn ranh giành giật sinh tử, đó lại không phải là lúc để đầu hàng.

Hàng giờ đồng hồ trôi qua, trái tim bé bỏng của người bệnh vẫn không chút lay động trên màn hình siêu âm POCUS tại giường, niềm hy vọng mong manh cạn dần.

Nhưng rồi điều kỳ diệu đã đến. Trái tim của người bệnh sau nhiều giờ ngủ yên đã tỉnh giấc. Từng nhịp, từng nhịp đập, sự sống đã được níu giữ. Chúng tôi vỡ òa hạnh phúc trong niềm hy vọng về một phép màu.

Tuy nhiên, mọi chuyện chưa dừng lại ở đó….

Cuộc chiến với tử thần lần 2

Khi mà tình trạng của người bệnh tạm ổn định với sự hỗ trợ của hệ thống ECMO, lọc máu liên tục và một loạt các thuốc tối ưu được sử dụng, một cuộc truy tìm nguyên nhân dẫn đến ngừng tim trên cô gái trẻ này vẫn hoàn toàn là một câu chuyện bí ẩn và gặp nhiều khó khăn do người bệnh vẫn trong tình trạng hôn mê sâu và không có người thân sống chung. Nhiều cuộc hội chẩn, định hướng nguyên nhân, hàng loạt các xét nghiệm chuyên sâu đã thực hiện, kể cả truy tìm độc chất đều chưa phát hiện ra nguyên nhân gây tình trạng của người bệnh.

Trong quá trình hồi sức và truy tìm nguyên nhân, người bệnh bắt đầu xuất hiện dấu hiệu mất máu cấp. Các chỉ số hồng cầu, Hemoglobin máu có lúc chỉ còn 5.5 g/dL. Vấn đề khó khăn nhất lúc này là tìm nguyên nhân chảy máu cũng như bù máu khối lượng lớn cho người bệnh trong một hoàn cảnh vô cùng khắc nghiệt: Người bệnh có nhóm máu A Rh (-) đây là nhóm máu cực kỳ hiếm gặp.

Bệnh viện Nhân dân 115
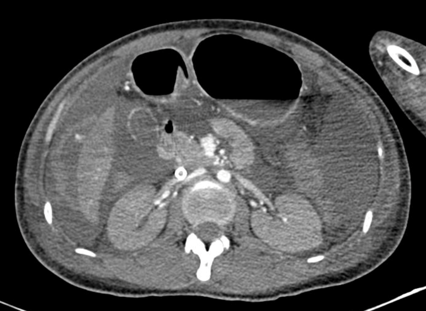
Dịch ổ bụng lượng nhiều, nghi ngờ chảy máu ổ bụng trên phim chụp cắt lớp vi tính.

Một mệnh lệnh được đưa ra “Nhanh chóng liên hệ Bệnh viện truyền máu huyết học hỗ trợ ưu tiên cung cấp máu khẩn, song song đó huy động người có cùng nhóm máu với người bệnh từ người nhà và toàn thể nhân viên bệnh viện”. Nhờ có sự phối hợp kịp thời của Bệnh viện truyền máu và huyết học đã huy động nhiều người đã tham gia hiến máu, trong đó có một nhân viên của Bệnh viện cũng đã sẵn sàng tiếp máu cho người bệnh khi cần thiết.

Bên cạnh việc truyền máu tích cực, việc tìm nguyên nhân chảy máu là một vấn đề cấp bách được đặt ra, nếu không bao nhiêu lượng máu hiếm quý như vàng lại tiếp tục chảy ra. Hình ảnh trên siêu âm cũng như chụp cắt lớp cho thấy dịch ổ bụng lượng nhiều, nghi ngờ có máu trong ổ bụng. Người bệnh sau đó được nhanh chóng chuyển lên phòng mổ kèm theo hệ thống ECMO để can thiệp nội soi ổ bụng cấp cứu dưới sự thực hiện của BS. CKII Phan Lương Huy khoa Ngoại tổng quát. Nhờ sự can thiệp kịp thời và chính xác, ổ chảy máu được xác định nằm ở phân thùy VI của gan nhanh chóng được can thiệp đốt cầm máu, ca phẫu thuật bước đầu đã thành công.

Bệnh viện Nhân dân 115
Ổ chảy máu tại phân thùy VI gan phát hiện trên nội soi ổ bụng (mũi tên).

Và sự sống đã trở lại

Tình trạng xuất huyết sau đó nhanh chóng ổn định. Hemoglobin được theo dõi sát sau đó không ghi nhận tụt giảm thêm. Huyết động người bệnh dần cải thiện hơn và ngưng được ECMO sau hơn 1 tuần nhập viện. Người bệnh sau đó tỉnh táo, chức năng các cơ quan như gan, thận, tri giác… cải thiện rõ rệt, cai được máy thở và rút nội khí quản, chưa ghi nhận các di chứng thần kinh mặc dù trước đó bệnh nhân có ngưng tuần hoàn hô hấp nhiều lần. Tuy nhiên tình trạng người bệnh chưa cho phép chúng tôi khai thác rõ ràng hơn về những chất mà người bệnh đã sử dụng trước đó, hy vọng trong những ngày sắp tới khi mà tinh thần người bệnh ổn định hơn mọi chuyện sẽ được sáng tỏ.

Bệnh viện Nhân dân 115
Người bệnh cùng team ECMO khoa Hồi sức tích cực – Chống độc.

Từ ca bệnh này một lần nữa cũng là lời nhắc nhở cho những ai đang khoác trên mình chiếc áo blouse trắng: “Chúng ta không chỉ mang trên vai kiến thức và kỹ năng y khoa vững vàng, mà còn mang theo niềm tin và sự sống của người bệnh. Hãy nỗ lực hết mình trong từng ca trực, từng lần chẩn đoán, từng quyết định điều trị – như thể chúng ta đang chăm sóc chính người thân yêu nhất của mình. Bởi lẽ, với người bệnh trong tình trạng thập tử nhất sinh, chúng ta chính là niềm hy vọng cuối cùng của họ.”

BS. CKII. CAO HOÀI TUẤN ANH

Bài liên quan

Tin bài có thể bạn quan tâm

Công ty Cổ phần VICEM Bao bì Bỉm Sơn

Công ty Cổ phần VICEM Bao bì Bỉm Sơn

Công ty Cổ phần VICEM Bao bì Bỉm Sơn chào mừng ngày Giải phóng miền Nam và Quốc tế Lao động
PV GAS và chiến lược củng cố ‘lá chắn’ năng lượng quốc gia trước biến động địa chính trị

PV GAS và chiến lược củng cố ‘lá chắn’ năng lượng quốc gia trước biến động địa chính trị

PV GAS và chiến lược củng cố ‘lá chắn’ năng lượng quốc gia trước biến động địa chính trị
Ngân hàng TMCP Công Thương Việt Nam

Ngân hàng TMCP Công Thương Việt Nam

Ngân hàng TMCP Công Thương Việt Nam chúc mừng Năm mới Bính Ngọ 2026
CMC 2026: Tăng tốc AI-X, "cắm cờ" GO GLOBAL bằng hạ tầng AI, an ninh và đám mây

CMC 2026: Tăng tốc AI-X, "cắm cờ" GO GLOBAL bằng hạ tầng AI, an ninh và đám mây

Bước sang năm 2026, Tập đoàn Công nghệ CMC hướng tới chu kỳ phát triển mới: lấy Chuyển đổi AI (AI-X) làm động cơ đổi mới và Go Global làm hướng mở rộng thị trường. Thay vì phát triển theo các mảng rời rạc, CMC định hình bức tranh tăng trưởng dựa trên ba mũi nhọn công nghệ AI - Security - Cloud, với các dự án trung tâm dữ liệu được xem như hạ tầng AI thiết yếu.
Nước mắm Việt - Từ giọt mặn làng chài đến niềm tự hào quốc gia

Nước mắm Việt - Từ giọt mặn làng chài đến niềm tự hào quốc gia

Trong gian bếp của mỗi gia đình Việt, có một mùi hương quen thuộc đã theo ta suốt cả cuộc đời. Đó là mùi của nước mắm - thứ gia vị tưởng chừng giản dị nhưng lại kết tinh cả một nền văn hóa ẩm thực, một chiều sâu lịch sử và bản sắc dân tộc. Từ những làng chài ven biển, qua bao thế hệ cần mẫn, nước mắm đã trở thành linh hồn của bữa cơm Việt, là “giọt mặn” gắn kết ký ức, quê hương và cội nguồn.
Đào tạo ngành luật tại Trường Đại học Ngân hàng Thành phố Hồ Chí Minh

Đào tạo ngành luật tại Trường Đại học Ngân hàng Thành phố Hồ Chí Minh

Trường Đại học Ngân hàng Thành phố Hồ Chí Minh bắt đầu đào tạo cử nhân luật năm 2014 và để bảo đảm chất lượng giáo dục, Trường đã chủ động trong đào tạo và tìm kiếm nguồn nhân lực chất lượng cao để triển khai giảng dạy các Chương trình đào tạo ngành luật. Cũng như các cơ sở giáo dục đại học có ngành luật, Trường Đại học Ngân hàng Thành phố Hồ Chí Minh xây dựng chương trình đào tạo theo quy định chung, và cố gắng nỗ lực trong thể hiện bản sắc, thế mạnh của mình trong trong bối cảnh chưa có chuẩn chương trình đào tạo dành riêng cho lĩnh vực pháp luật. Hiện Trường đã triển khai đào tạo ngành luật từ đại học, cao học đến nghiên cứu sinh Tiến sĩ.
KCN Phúc Long (Tây Ninh): Bước tiến chiến lược cho nhà đầu tư đón đầu cơ hội

KCN Phúc Long (Tây Ninh): Bước tiến chiến lược cho nhà đầu tư đón đầu cơ hội

Trong bối cảnh dòng vốn đầu tư trong và ngoài nước đang ngày càng hướng mạnh vào lĩnh vực Bất động sản công nghiệp, những khu công nghiệp (KCN) sở hữu hạ tầng đồng bộ, vị trí chiến lược và chính sách hỗ trợ minh bạch đang trở thành điểm đến hấp dẫn. KCN Phúc Long (xã Bến Lức và xã Long Cang, tỉnh Tây Ninh) là một trong những dự án tiêu biểu hội tụ đầy đủ các yếu tố đó, mở ra cơ hội đầu tư hiệu quả và bền vững cho các doanh nghiệp trong giai đoạn sắp tới.
Bệnh viện Việt Nam - Thụy Điển Uông Bí: Khẳng định vai trò tuyến cuối vùng Đông Bắc

Bệnh viện Việt Nam - Thụy Điển Uông Bí: Khẳng định vai trò tuyến cuối vùng Đông Bắc

Năm 2025 ghi dấu một bước phát triển toàn diện của Bệnh viện Việt Nam - Thụy Điển Uông Bí trong thực hiện nhiệm vụ bảo vệ, chăm sóc và nâng cao sức khỏe nhân dân. Với vai trò là bệnh viện tuyến cuối hạng I của tỉnh Quảng Ninh, đơn vị không ngừng nâng cao chất lượng khám chữa bệnh, làm chủ nhiều kỹ thuật chuyên sâu, đẩy mạnh chuyển đổi số và quản trị bệnh viện hiện đại, tiếp tục khẳng định vị thế trung tâm y học vùng Đông Bắc.
Captogastril - Đột phá công nghệ mới từ Châu Âu trong hỗ trợ giảm acid, đầy hơi, nóng rát dạ dày

Captogastril - Đột phá công nghệ mới từ Châu Âu trong hỗ trợ giảm acid, đầy hơi, nóng rát dạ dày

Trong những năm gần đây, các vấn đề bệnh lý liên quan đến dạ dày ngày càng phổ biến và có xu hướng trẻ hóa. Lối sống hiện đại với nhịp sinh hoạt căng thẳng, ăn uống thất thường, sử dụng nhiều rượu bia, cà phê và thực phẩm nhiều dầu mỡ khiến dạ dày thường xuyên phải hoạt động trong trạng thái quá tải. Hệ quả là mất cân bằng tiết acid, rối loạn tiêu hóa và kích ứng niêm mạc dạ dày xuất hiện ngày càng nhiều, gây ra các triệu chứng khó chịu kéo dài, dễ tái phát và ảnh hưởng rõ rệt đến chất lượng cuộc sống.
Công ty TNHH MTV Cao su Phú Riềng

Công ty TNHH MTV Cao su Phú Riềng

Công ty TNHH MTV Cao su Phú Riềng chúc mừng năm mới Bính Ngọ 2026
Thiên Tường: “Người gieo hạt” kiên tâm và khát vọng đổi mới giáo dục Việt

Thiên Tường: “Người gieo hạt” kiên tâm và khát vọng đổi mới giáo dục Việt

Trong bức tranh đa sắc của xã hội hóa giáo dục, Công ty TNHH Thiên Tường nổi lên như một hình mẫu về sự bền bỉ và sáng tạo. Suốt 15 năm qua, đơn vị này không chỉ cung cấp dịch vụ giáo dục mà còn tham gia kiến tạo một hệ sinh thái học tập hiện đại, nơi mỗi học sinh được đánh thức tiềm năng để trở thành những công dân số bản lĩnh.
Công ty Cổ phần Vận tải Thủy Tân Cảng

Công ty Cổ phần Vận tải Thủy Tân Cảng

Công ty Cổ phần Vận tải Thủy Tân Cảng
Công ty TNHH MTV Nông sản hữu cơ Quế Lâm

Công ty TNHH MTV Nông sản hữu cơ Quế Lâm

Công ty TNHH MTV Nông sản hữu cơ Quế Lâm
Quảng cáo Năng Phong - dẫn đầu giải pháp quảng cáo khẳng định đẳng cấp, lan tỏa thương hiệu

Quảng cáo Năng Phong - dẫn đầu giải pháp quảng cáo khẳng định đẳng cấp, lan tỏa thương hiệu

Trong bối cảnh cạnh tranh thương hiệu ngày càng khốc liệt, quảng cáo không còn đơn thuần là công cụ truyền thông, mà đã trở thành yếu tố chiến lược quyết định vị thế và giá trị của doanh nghiệp. Nắm bắt xu thế đó, Công ty TNHH Sản xuất - Thương mại Năng Phong (Quảng cáo Năng Phong) đã từng bước khẳng định dấu ấn riêng, trở thành đơn vị tiên phong cung cấp các giải pháp quảng cáo chuyên nghiệp, sáng tạo và mang tính định vị thương hiệu cao cấp tại Hải Phòng và khu vực phía Bắc.
Đảng ủy - HĐND - UBND - UBMTTQ xã Lạc Sơn

Đảng ủy - HĐND - UBND - UBMTTQ xã Lạc Sơn

Đảng ủy - HĐND - UBND - UBMTTQ xã Lạc Sơn

Theo dõi chúng tôi trên: